Διάγνωση της Ασθένειας των Ούλων

Οδοντίατρος που κάνει ερώτηση σε ασθενή

Η διάγνωση της περιοδοντικής νόσου

Ο εντοπισμός και η αντιμετώπιση της περιοδοντίτιδας σε πρώιμο στάδιο αυξάνει την πιθανότητα διατήρησης των δοντιών.1

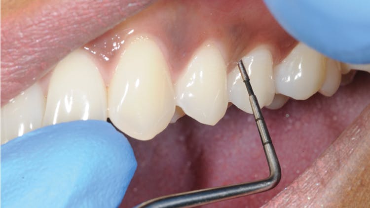
Περιοδοντική εξέταση

Δεδομένου ότι ο απώτερος σκοπός είναι η πρόληψη της οδοντικής νόσου, η περιοδοντική εξέταση θα πρέπει να αποτελεί κομμάτι κάθε οδοντιατρικής επίσκεψης. Έχει τεκμηριωθεί ότι η συνεχιζόμενη φλεγμονή των ούλων αποτελεί βασική ένδειξη εστιών νόσου που εξελίσσονται σε απώλεια της προσκόλλησης, ενισχύοντας έτσι τη σημασία της τακτικής παρακολούθησης στο πλαίσιο των οδοντιατρικών ραντεβού.2

Ο Παγκόσμιος Οργανισμός Υγείας δημιούργησε αρχικά τον Κοινοτικό Περιοδοντικό Δείκτη (Community Periodontal Index, CPI) ως μέσο τυποποίησης της μέτρησης της νόσου, με σκοπό να παρακολουθείται η συχνότητα εμφάνισης.

Ασθενής υπό εξέταση της στοματικής του κοιλότητας

Έλεγχος περιοδοντικής νόσου

Το 2017, η Αμερικάνικη Ακαδημία Περιοδοντολογίας (American Academy of Periodontology, AAP) και η Ευρωπαϊκή Ομοσπονδία Περιοδοντολογίας (European Federation of Periodontology, EFP) διοργάνωσαν το Παγκόσμιο Εργαστήρι για την Ταξινόμηση Περιοδοντικών και Περιεμφυτευματικών Νόσων και Παθήσεων, με σκοπό να δημιουργήσουν μια (ομόφωνα) ανεπτυγμένη βάση γνώσης για προώθηση σε παγκόσμιο επίπεδο. Μεταξύ των αποτελεσμάτων του εργαστηρίου ήταν να οριστούν η υγεία των ούλων, η ουλίτιδα και η περιοδοντίτιδα με χρήση βασικών μετρήσεων, όπως και το βάθος ελέγχου και οι εστίες αιμορραγίας.3

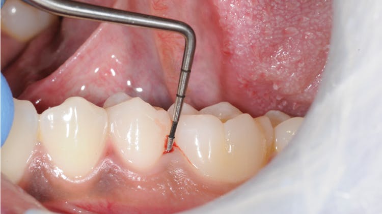
Οι μέθοδοι ελέγχου αλλάζουν ανάλογα με το τι εφαρμόζεται σε κάθε χώρα, αλλά κατά κύριο λόγο περιλαμβάνουν τα εξής στοιχεία:

  • Ανιχνευτήρας 0,5mm με στρογγυλεμένη μύτη και χρωματιστή ταινία διαμέτρου 3,5-5,5mm, και δακτυλίδια 8,5mm και 11,5mm από τη στρογγυλεμένη άκρη.
  • Ο έλεγχος θα πρέπει να γίνεται με άσκηση ήπιας δύναμης.
  • Τα δόντια χωρίζονται σε εκτοκύκλια, και κάθε εκτοκύκλιο εξετάζεται ξεχωριστά.
  • Θα πρέπει να εξεταστούν όλες οι εστίες, και να καταχωρηθεί η υψηλότερη βαθμολογία για το εκάστοτε εκτοκύκλιο.
  • Οι βαθμοί κατανέμονται σύμφωνα με το βάθος των θυλάκων και την παρουσία αίματος κατά τον έλεγχο.
  • Πέραν των 5 αριθμητικών βαθμολογιών, μπορεί επίσης να προστεθεί το σύμβολο * για να τονιστεί η παρουσία περιοδοντικών ανωμαλιών ή συμβολής ρίζας.

Οι οδηγίες έχουν υιοθετηθεί με διάφορους τρόπους. Δείτε παρακάτω 3 παραδείγματα πρακτικών κατευθυντήριων οδηγιών που έχουν δημιουργηθεί απο διαφορετικούς περιοδοντολογικούς οργανισμούς.

Ασθενής που βρίσκεται υπό εξέταση των ούλων του

Υγεία των ούλων

Χαρακτηριστικά άθικτου περιοδοντίου και μειωμένου και σταθερού περιοδοντίου:2

  • Δεν υφίσταται απώλεια προσκόλλησης
  • Εστίες αιμορραγίας <10%
  • Βάθος ελέγχου <= 3mm
  • Χαρακτηριστικά ασθενή με σταθερή περιοδοντίτιδα που έχει λάβει επιτυχή θεραπεία:
  • Απώλεια προσκόλλησης κατά τον έλεγχο
  • Εστίες αιμορραγίας <10%
  • Βάθος ελέγχου <= 4mm
Ασθενής με αιμορραγία των ούλων

Ουλίτιδα

Χαρακτηριστικά άθικτου/μειωμένου περιοδοντίου (ασθενείς χωρίς περιοδοντίτιδα)2

  • Δεν υφίσταται απώλεια προσκόλλησης
  • Εστίες αιμορραγίας > 10%
  • Βάθος ελέγχου < 3mm
  • Χαρακτηριστικά ασθενή με ιστορικό περιοδοντίτιδας:
  • Απώλεια προσκόλλησης κατά τον έλεγχο
  • Εστίες αιμορραγίας >= 10%
  • Βάθος ελέγχου <= 3mm
Ασθενής με περιοδοντίτιδα και αιμορραγία των ούλων

Περιοδοντίτιδα

Σύμφωνα με την Ομόφωνη Έκθεση της 2ης Ομάδας Εργασίας στο πλαίσιο του Παγκόσμιου Εργαστηρίου του 2017, ένας ασθενής αντιστοιχεί σε περιστατικό περιοδοντίτιδας εφόσον:4

Η απώλεια μεσοδόντιας κλινικής προσκόλλησης ανιχνεύεται σε περισσότερα από 2 (>2) μη γειτονικά δόντια.

Ανιχνεύεται απώλεια παρειακής ή στοματικής κλινικής προσκόλλησης >=3mm με θυλάκους >3mm σε >=2 δόντια, η οποία δεν μπορεί να αποδοθεί σε αιτίες που δεν σχετίζονται με την περιοδοντίτιδα.

Πίνακας: πλαίσιο σταδιοποίησης και ταξινόμηση περιοδοντίτιδας

Σταδιοποίηση και διαβάθμιση περιοδοντίτιδας

Το Παγκόσμιο Εργαστήριο Κατηγοριοποίησης Περιοδοντικών και Περιεμφυτευματικών Νόσων και Παθήσεων του 2017 πρότεινε να χαρακτηριστεί η περιοδοντίτιδα μέσω ενός νέου συστήματος πολυδιάστατης σταδιοποίησης και ταξινόμησης.5

Σταδιοποίηση:

  • Κατηγοριοποιεί την έκταση και τη σοβαρότητα της νόσου στον ασθενή
  • Μετράει την ποσότητα κατεστραμμένου ιστού και/ή ιστού με βλάβες
  • Αξιολογεί τους ειδικούς παράγοντες στους οποίους μπορεί να αποδίδεται η μακροχρόνια πολυπλοκότητα του περιστατικού

Υπάρχουν 4 στάδια που θα πρέπει να καθοριστούν με χρήση του δείκτη απώλειας κλινικής προσκόλλησης (Clinical Attachment Loss, CAL), ή σε περίπτωση μη διαθεσιμότητας αυτού, σύμφωνα με την ακτινογραφική απώλεια οστού (Radiographic Bone Loss, RBL). Η απώλεια δοντιών ή οι παράγοντες πολυπλοκότητας ενδέχεται να αυξήσουν τη βαθμίδα κατηγοριοποίησης.

Ταξινόμηση:

Στόχος της ταξινόμησης είναι να δείξει τα εξής:

  • Ρυθμό εξέλιξης
  • Απόκριση στην τυπική θεραπεία
  • Δυνητικές επιπτώσεις στη συστηματική υγεία

Υπάρχουν 3 επίπεδα ταξινόμησης (A-C), με πρωταρχικά κριτήρια την ακτινογραφική απώλεια οστού ή την απώλεια κλινικής προσκόλλησης, ή εάν αυτές δεν είναι διαθέσιμες, μπορούν να χρησιμοποιηθούν το ποσοστό απώλειας οστικής μάζας ανά ηλικία και ο φαινότυπος της κάθε περίπτωσης.

Στηρίξτε τους ασθενείς σας στη διαδρομή τους προς τη βέλτιστη υγεία των ούλων

Εικονίδιο οδοντιάτρου

Διαχείριση

Δείτε μια γενική επισκόπηση της διαχείρισης της περιοδοντικής νόσου.

Μάθετε περισσότερα

Εικονίδιο δοντιών και ούλων

Υγεία των ούλων

Μάθετε περισσότερα για την περιοδοντική νόσο.

Μάθετε περισσότερα

Εικονίδιο βακτηρίων σε δόντι

Αιτίες

Μάθετε για τις αιτίες και τους μηχανισμούς που διέπουν την περιοδοντική νόσο.

Μάθετε περισσότερα

Εικονίδιο πόρων φροντίδας ασθενών

Επιπτώσεις στην ποιότητα ζωής του ασθενή

Μάθετε για τις επιπτώσεις που έχει η περιοδοντική νόσος στην καθημερινή ζωή των ασθενών

Μάθετε περισσότερα

Γκάμα προϊόντων parodontax

Η γκάμα προϊόντων parodontax

Μάθετε τους τρόπους με τους οποίους η γκάμα προϊόντων parodontax μπορεί να βοηθήσει τους ασθενείς σας.

Μάθετε περισσότερα

Πόροι φροντίδας ασθενών


Υλικό φροντίδας ασθενών

Βρείτε χρήσιμες πληροφορίες και υποστηρικτικό υλικό για τους ασθενείς σας.

Μάθετε περισσότερα