Gum Disease: Diagnosis

Dentist asking patient a question

Diagnosing periodontal disease

Early detection and treatment of periodontitis increases the likelihood of tooth retention.1

Periodontal examination

With the focus on the prevention of dental disease a periodontal examination should form part of every dental visit. Evidence has established that gingival inflammation over time is a key indicator for sites which progress to attachment loss, reinforcing the importance of regular monitoring at dental appointments.2

The WHO originally developed the Community Periodontal Index (CPI) as a way to standardise measurement of the condition to allow for prevalence to be monitored.

Patient having mouth examined

Screening for periodontal disease

In 2017 the American Academy of Periodontology (AAP) and European Federation of Periodontology (EFP) convened the World Workshop on the Classification of Periodontal and Peri-Implant Diseases and Conditions to create a consensus knowledge base to be promoted globally. Outputs from this workshop included definitions for gingival health, gingivitis and periodontitis using key measures such as probing depths and bleeding sites.3

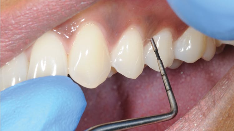
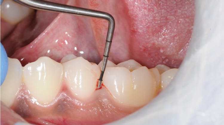
Methods of screening vary in their adoption by country but mainly include the following elements:

  • Use of 0.5mm ball-tip probe with a marked band between 3.5mm-5.5mm and rings at 8.5mm and 11.5mm from the ball tip.
  • Light probing force should be used.
  • The teeth are divided into sextants and each sextant is examined separately.
  • All sites should be examined and the highest score is recorded for that sextant.
  • Scores are allocated based on pocket depths and presence of bleeding on probing.
  • In addition to the 5 numbered scores a * symbol can also be appended to annotate the presence of periodontal abnormalities or furcation involvement.

The guidance has been adopted in a variety of ways. Included are 3 examples of practical guidelines created by different periodontal organisations.

The British Society of Periodontology have developed downloadable guidelines for the Basic Periodontal Examination (BPE). Access now.

Discover more about the Comprehensive Periodontal Examination from AAP.

Access the FDI Periodontal Diseases chairside guide.

Patient having gum inspected

Gingival health

For intact periodontium and reduced and stable periodontium:2No probing attachment loss<10% bleeding sitesProbing depths < 3mm

For successfully treated stable periodontitis patient:Probing attachment loss<10% bleeding sitesProbing depths < 4mm

Patient with bleeding gum

Gingivitis

Intact/reduced periodontium (non-periodontitis patient)2No probing attachment loss>10% bleeding sitesProbing depths < 3mm

In a patient with a history of periodontitis:Probing attachment loss>10% bleeding sitesProbing depths < 3mm

Patient with periodontitis and bleeding gum

Periodontitis

According to the Consensus Report of Workgroup 2 at the 2017 World Workshop, a patient is a periodontitis case if:4Interdental CAL is detectable at >2 non-adjacent teeth orBuccal or oral CAL >3mm with pocketing >3mm is detectable at >2 teeth and cannot be ascribed to non-periodontitis-related causes.

Table: framework for staging and grading periodontitis

Staging and Grading Periodontitis

The 2017 World Workshop on the Classification of Periodontal and Peri-Implant Diseases and conditions recommended that periodontitis should be characterized by a new system of multi-dimesional staging and grading.5

Staging:

  • Classifies the extent and severity of a patient’s disease
  • Measures the amount of destroyed and/or damaged tissue
  • Assesses the specific factors that may attribute to the long-term complexity of the case

There are 4 stages which should be determined using clinical attachment loss (CAL) or if this is not available radiographic bone loss (RBL). Tooth loss or complexity factors may increase the level of classification.

Grading:

Aims to indicate:

  • The rate of progression
  • The responsiveness to standard therapy
  • The potential impact on systemic health

There are 3 grading levels A-C and primary criteria include radiographic bone loss or CAL or if this is not available %bone loss/age and case phenotype can be used.

Help your patients on their journey to optimal gum health

Dentist icon

Management

Explore an overview of periodontal disease management.

Find out more

Tooth with gum icon

Gum health

Find out more about periodontal disease.

Find out more

Bacteria in tooth icon

Causes and mechanisms

Find out about the causes and mechanisms behind periodontal disease.

Find out more

Leaflet icon

Learning Lab

Discover the science behind our innovations.

Read more

parodontax range

The parodontax range

Find out how the parodontax range can help your patients. Note: GUM+ is the only cosmetic from the photo range posted, the rest of them are medical devices.

Find out more

Patient resources icon

Patient care resources

Download resources for your patients.

Find out more